Servicios
Servicios
Inicio / Servicios / Radiografías Intraorales

Radiografías Intraorales

Radiografías Intraorales
CRANEX realiza las siguientes radiografías.
 
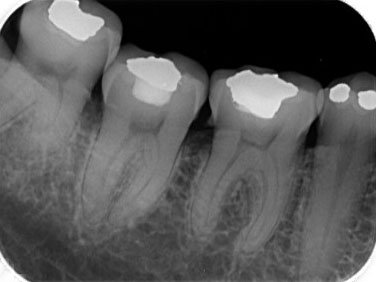
RX. Periapicales
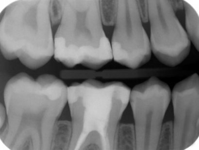
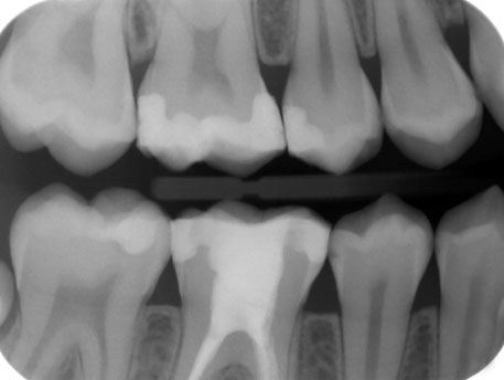
RX. Bitewing
Serie Radiográfica
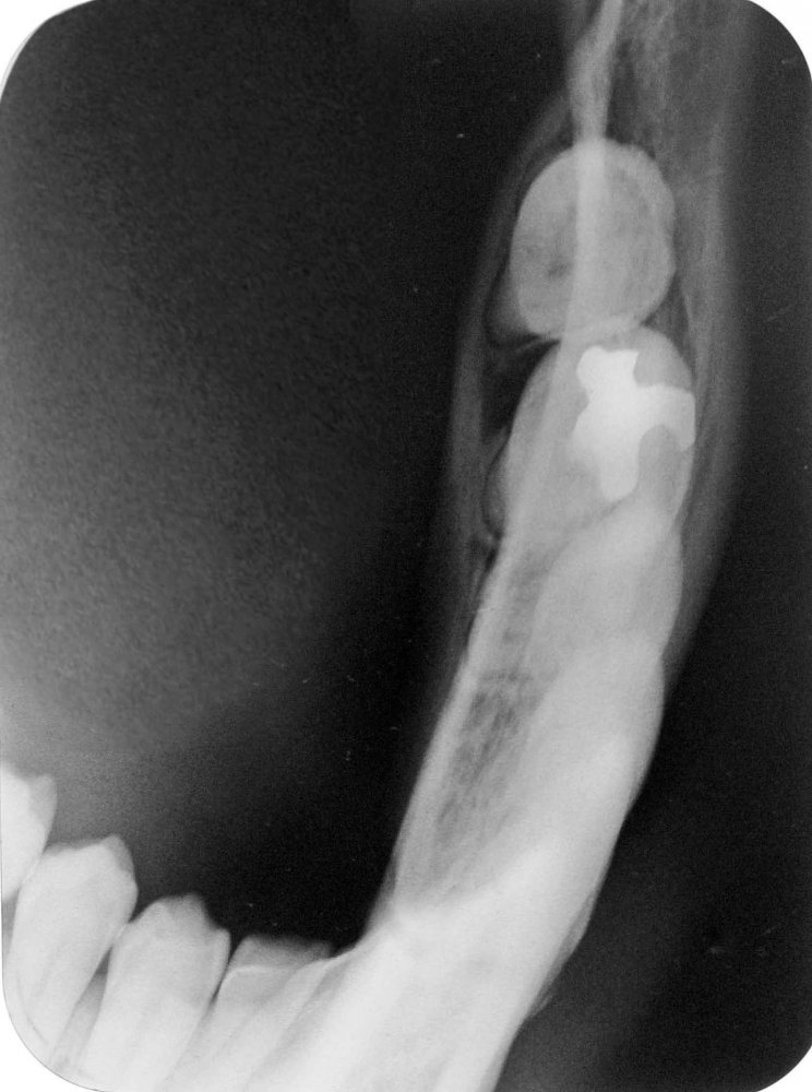
Localización de piezas dentarias
RX. Oclusal superior
RX. Oclusal inferior
RX. Oclusal inferior Donovan