Servicios
Servicios
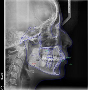
Inicio / Servicios / Análisis radiológico computarizado