Caso Radiográfico N° 02: Seudo-infantilismo pulpar y resorción radicular externa asociado a antecedente traumático
Relato
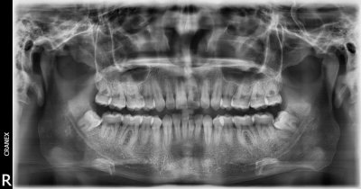
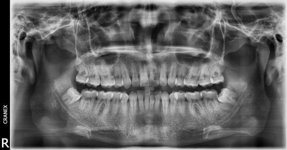
Paciente de 20 años de edad de sexo masculino, que acude a nuestra institución para descartar caries con compromiso pulpar en pieza 2.1.
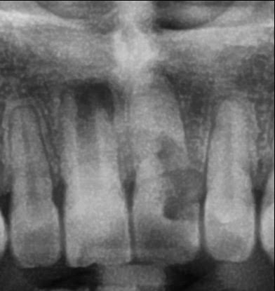
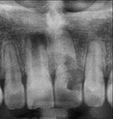
A la evaluación de la radiografía panorámica, observamos que la pieza 1.1 presenta desarrollo radicular incompleto caracterizado por cámara pulpar, conducto radicular y foramen apical amplios, compatible con seudo-infantilismo pulpar. Proceso osteolítico periapical de límites definidos compatible con granuloma periapical.
Comentario
“El cuadro radiológico particular denominado seudo-infantilismo pulpar es propio de adolescentes. Se presenta casi exclusivamente en los dientes antero-superiores y es de origen traumático. Sus características radiográficas son las siguientes: La imagen de un diente permanente que ha hecho erupción y que presenta un desarrollo radicular incompleto; su cámara, su conducto y su foramen aparecen considerablemente amplios, como corresponde a un diente en vías de desarrollo”, contrastando con la formación completa o casi completa de los demás dientes permanentes. 1.
Referencias
- Contreras Stark. R. Conducto Radicular, En: Radiología Dental Básica y Clínica. 1ª Ed. Chile: Editorial Empresa El Mercurio; 1986.
- VPD Westphalen, I Gomes de Moraes, FH Westphalen, WD Martins, and PH Couto Souza. Conventional and digital radiographic methods in the detection of simulated external root resorptions: a comparative stud. Dentomaxillofacial Radiology. 2004; 33: 233–235.
- H Liang, EJ Burkes and NL Frederiksen. Multiple idiopathic cervical root resorption: systematic review and report of four cases. Dentomaxillofacial Radiology, 2003; 32: 150–155.




