Caso Radiográfico n° 03: Ameloclasia
Relato
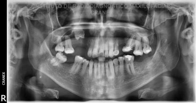
Paciente de 46 años de edad de sexo masculino, que acude a nuestra institución para evaluación radiográfica de rutina.
Comentario
“Las Células clásticas son responsables de la resorción de tejido mineralizado. Cuando estas células reabsorben tejido óseo, son llamados osteoclastos y cuando reabsorben tejido dental mineralizado o cartílago calcificado; son llamados Odontoclastos y Condroblastos respectivamente. Las células clásticas juegan un roll importante en la homeostasis del calcio, en el crecimiento del esqueleto, en el movimiento de los dientes, y otro proceso fisiológico y patológico. Su desequilibrio puede resultar en actividad de resorción.” 1
"Toda resorción dentaria (inflamación secundaria) precisa de la inflamación primaria del tejido pulpar (resorción pulpógena, endodontógena o «interna») o de los tejidos vascularizados peridentarios (resorción periodontógena o «externa»)." 2
Referencias
- E Arana-Chavez, V Bradaschia-Correa. Mineralized tissue resorption in health and disease. The International Journal of Biochemistry & Cell Biology. 2009; 41: 446–450.
- G Del Nero-Viera. La resorción como proceso inflamatorio. Aproximación a la patogenia de las resorciones dentaria y periodontal. RCOE. 2005; 10(56): 545-556.
- G Del Nero-Viera. Ameloclasia. La resorción del esmalte. Casos clínicos. RCOE 2005; 10(5-6):573-595.




