Radiografías Extraorales
Radiografías Extraorales
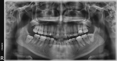
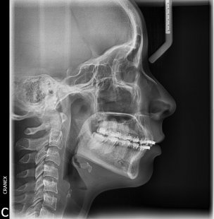
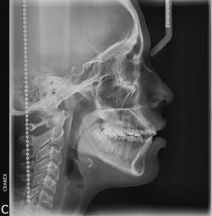
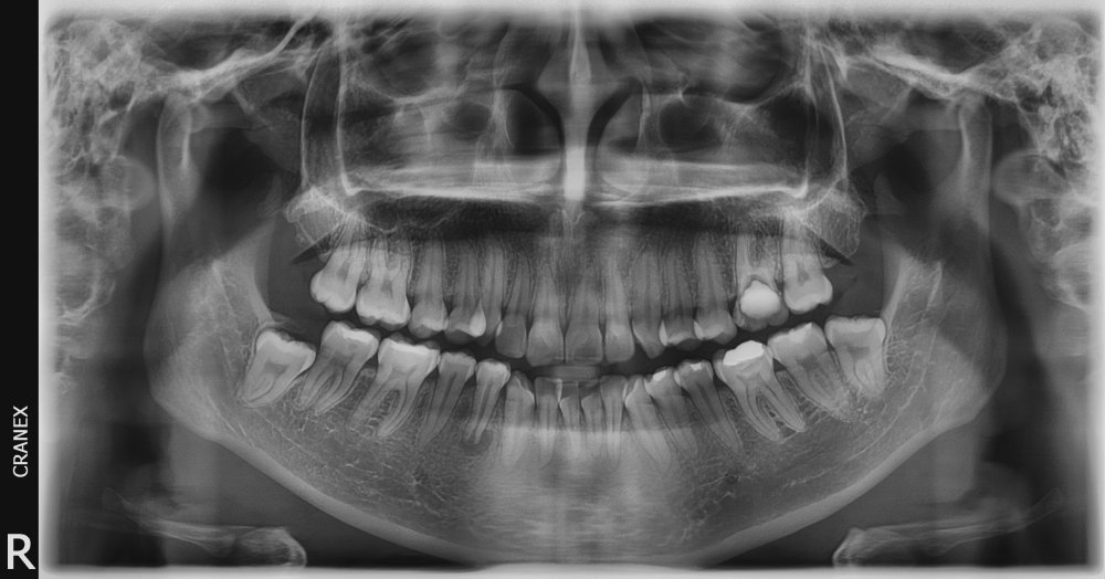
CRANEX realiza las siguientes radiografías.
- RX.Panorámica
- RX .Lateral Estricta
- RX. Lateral en posición natural de la cabeza (PNC)
- RX .Lateral 7ma vertebra
- RX .A.T.M (Boca cerrada / Boca abierta )
- RX .Inversa de Towne
- RX .Waters (Senos maxilares)
- RX .Hirts (Arco cigomático)
- RX. Frontal (Postero-anterior)
- RX. Carpal (Edad Ósea)

















